Dental Implants
A Permanent Solution That Feels Natural
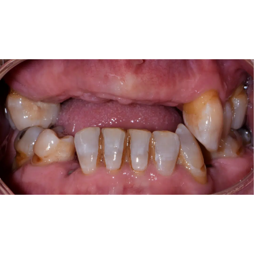
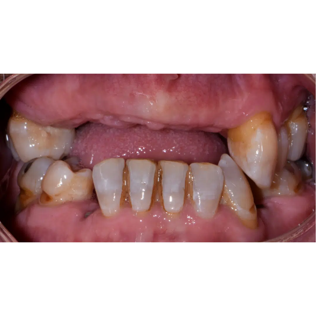
Imagine a life where you never have to think twice about eating your favorite steak, laughing out loud in a crowded room, or simply smiling for a photo without feeling self-conscious. Missing teeth don’t just affect your appearance; they can steal your confidence, your comfort, and even your health.
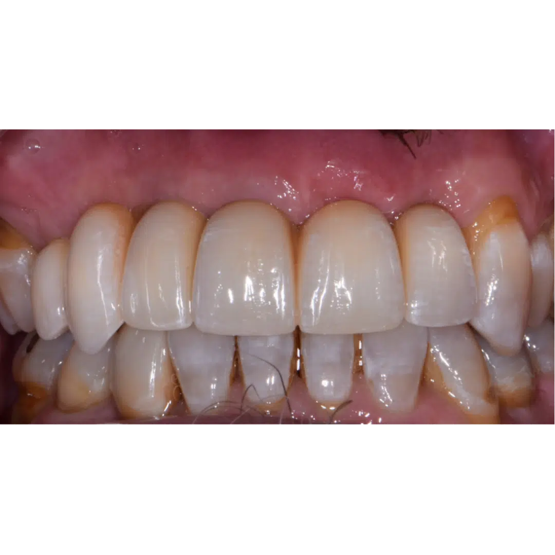
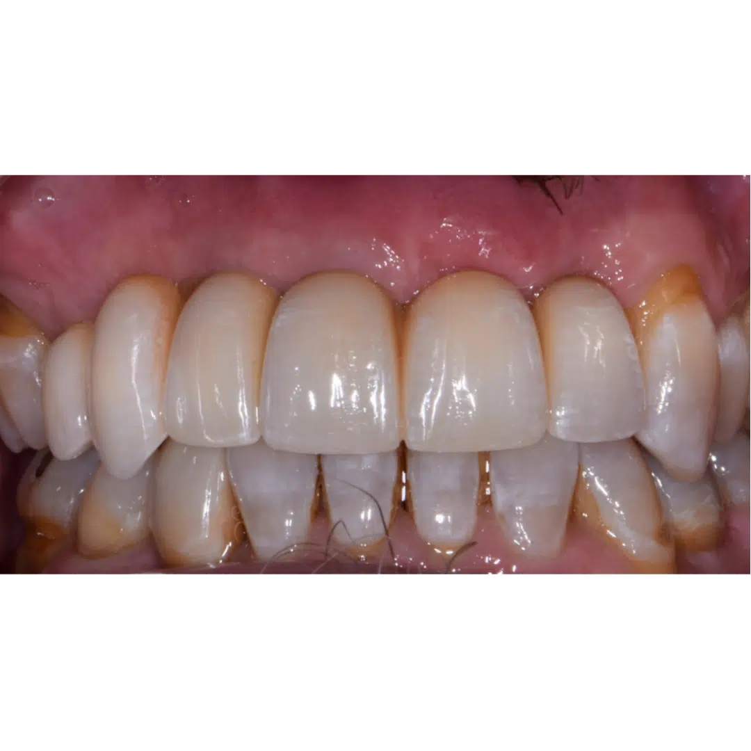
Here, Dr. Singla offers dental implants designed to look, feel, and function just like your natural teeth. Stop worrying about slipping dentures or gaps, and start living your life fully again!
The Real Difference Implants Make
The truth is, a missing tooth leaves a gap in more than just your smile. It creates a space where your jawbone begins to deteriorate, changing the shape of your face and putting your remaining teeth at risk.
Dental implants are different from traditional options like bridges or dentures because they address the root of the problem: they replace the root of the tooth.
- The Confidence to Speak & Smile: Say goodbye to covering your mouth. Implants are permanent and feel incredibly stable, allowing you to speak clearly and smile genuinely.
- Enjoy All Your Favorite Foods: Since the implant is anchored in your jaw, it restores nearly all your natural biting power.
- Preserve Your Youthful Look: By stimulating the jawbone, the implant prevents the bone loss that causes a sunken-in, aged facial appearance.
- The Longest-Lasting Solution: Implants are designed to last a lifetime with proper care, making them an excellent long-term investment in your health and happiness.


Types of Implant Solutions
- Single Tooth Replacement: A single post and crown flawlessly restore one missing tooth without impacting the surrounding teeth (unlike a bridge).
- Implant-Supported Bridge: Two or more implants anchor a permanent bridge to replace several adjacent missing teeth.
- Full Arch Replacement (All-on-4® and implant-supported dentures): For patients missing most or all of their teeth, we can use four or more strategically placed implants to secure a full, permanent arch of teeth. This eliminates the slipping, discomfort, and adhesion associated with traditional dentures.
Your Step-by-Step Journey To A New Smile
- Consultation and evaluation: During your initial consultation, Dr. Singla will assess your oral health, review your medical history, and determine if dental implants are the right solution for you. He may also take X-rays and create a detailed treatment plan.
- Bone grafting (if needed): If you need a bone graft to strengthen your jawbone, this procedure will be performed first. Bone grafting typically requires several months of healing before dental implant surgery can be performed.
- Dental implant placement: During this step, Dr. Singla will surgically insert the titanium post into your jawbone. The procedure is typically performed under local anesthesia to ensure your comfort. After the implant is placed, you will need to wait for a healing period, usually three to six months, during which the implant will integrate with the surrounding bone.
- Abutment placement: Once the implant has successfully integrated with your jawbone, Dr. Singla will attach the abutment to the implant. The abutment is the piece that connects the implant to the dental crown or prosthesis.
- Dental crown or prosthesis seating: Finally, a custom-made dental crown or prosthesis will be created to match the shape, size, and color of your natural teeth. This crown or prosthesis will be attached to the abutment, completing the dental implant process.
If you have any questions about our process, just give us a call and our friendly team will talk you through it all!
Where Technique Meets Trust
Choosing the right dentist for your implant procedure is the most important decision you’ll make.
Dr. Singla takes a comprehensive approach to every implant case, ensuring not only that your implant is successful, but that your entire smile restoration harmonizes perfectly with your facial structure. We use the latest technology for precise placement, minimizing discomfort and maximizing the long-term success of your implant.
Our goal is simple: to make your journey to a restored smile as comfortable, predictable, and successful as possible.
For The Moments That Really Matter
Your smile is a fundamental part of who you are, and you deserve a replacement solution that offers permanence, beauty, and function. Dental implants offer the best path to reclaim your confidence, enjoy every meal, and start smiling freely again.
If you’re ready to learn more about how it can change your life, call us today to schedule your consultation.
Frequently Asked Questions
Dental implants are designed to be a long-lasting solution for tooth replacement. With proper care and maintenance, dental implants can last a lifetime. However, the dental crown or prosthesis may need to be replaced after 10-15 years due to normal wear and tear.
The cost of dental implants varies depending on several factors, including the number of implants needed, the complexity of your case, and whether you require additional procedures like bone grafting. During your consultation at Singla Dental, Dr. Singla will provide you with a detailed treatment plan and cost estimate tailored to your specific needs.
It’s important to note that dental implants are an investment in your long-term oral health and overall well-being. While they may be more expensive upfront than other tooth replacement options, their durability and long-lasting benefits make them a cost-effective choice in the long run.
Dental implants are a safe and well-established treatment option when placed by a skilled and experienced dental professional like Dr. Singla. The materials used in dental implants, such as titanium, are biocompatible and have been extensively researched for their safety and effectiveness.
As with any surgical procedure, there are some risks associated with dental implant surgery, such as infection, nerve damage, or implant failure. However, these risks are relatively low, and Dr. Singla takes every precaution to ensure your safety and comfort throughout the procedure.
- Brush and floss daily: Use a soft-bristled toothbrush and gently brush your teeth and implants at least twice a day. Floss daily to remove plaque and food debris from between your teeth and around the implant.
- Schedule regular dental checkups: Visit Singla Dental for routine checkups and professional cleanings at least twice a year. Dr. Singla will monitor the health of your dental implants and address any issues early on.
- Avoid hard or sticky foods: To protect your dental implants and the attached dental crowns or prostheses, avoid chewing on hard or sticky foods that can cause damage.
- Quit smoking: Smoking can negatively impact the success and longevity of dental implants. If you smoke, it’s essential to quit to ensure the best possible outcome for your dental implants.
Our Patients Say It Best
Nancy McGeeTrustindex verifies that the original source of the review is Google. Dr. Singla and his staff are incredible caring, thorough and gentle. It took me years to find a dentist I like and trust who is state-of-the-art and family friendly. Brake BurkleyTrustindex verifies that the original source of the review is Google. Great service Singla Dental. From front entering to leaving you feel loved and taken care of. Thank you annelindaTrustindex verifies that the original source of the review is Google. Wonderful service and great staff, I highly recommend D SidesTrustindex verifies that the original source of the review is Google. Cori was Outstanding as Usual! Dr. Singla and his staff are the Best! JeoTrustindex verifies that the original source of the review is Google. Cori is so amazing and gentle with my kids. Thank you for always being kind 💛 Diego MoralesTrustindex verifies that the original source of the review is Google. Susy was really nice as was Dr Singla and everyone else in the office. Glad I live to close by to a nice office Juan L RodriguezTrustindex verifies that the original source of the review is Google. Very good service and very good equipment. Friendly and respectful interaction.
